MEISTERWERKE
Zahntick Meisterwerke
Als Familienunternehmen setzen wir in jeder Beziehung auf den Teamgedanken: nicht nur intern, sondern auch mit den uns kooperierenden Praxen streben wir einen verlässlichen und intensiven Austausch an.
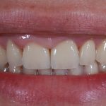
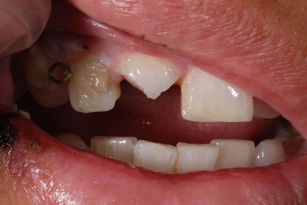
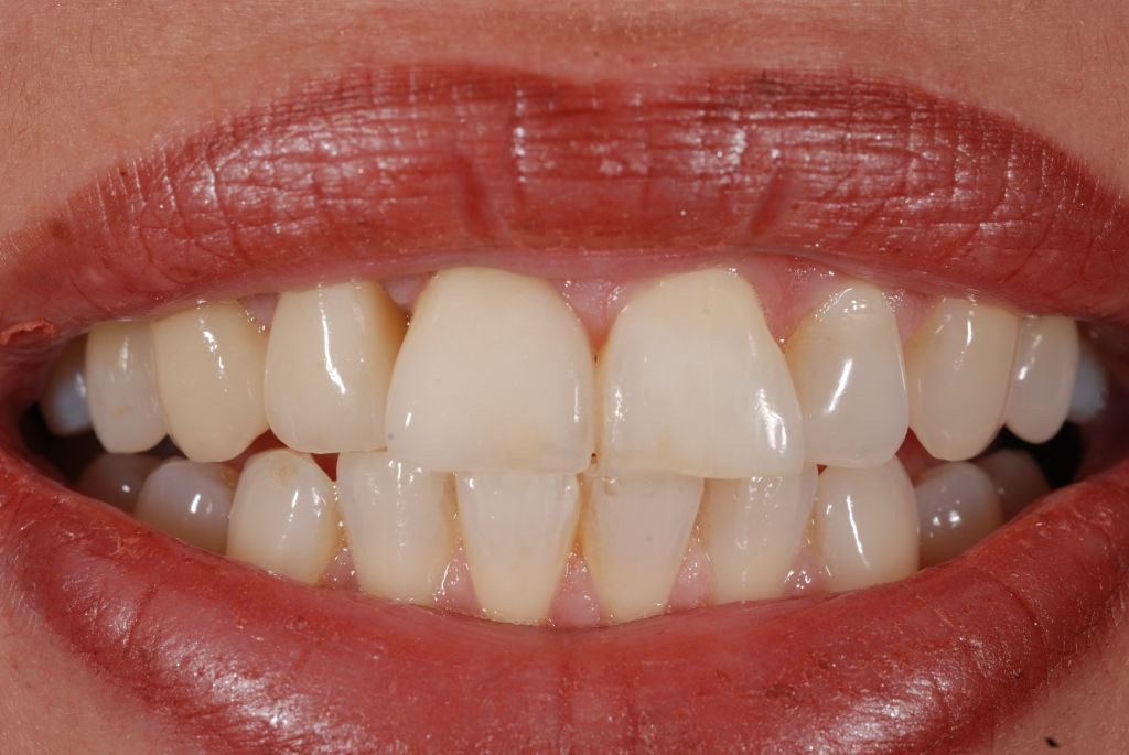
Dies ist die Frontzahnlücke einer sehr jungen Frau…..
Traumatisiert durch eine unbefriedigend hergestellte Krone und einer fehlgeschlagenen Wurzelbehandlung musste der Zahn entfernt werden.
Nach der Einheilung des Implantates, wurde mit der Abformung in der Praxis Dr. Ute Stein begonnen und die Patientin lernte die Zahnticker kennen.
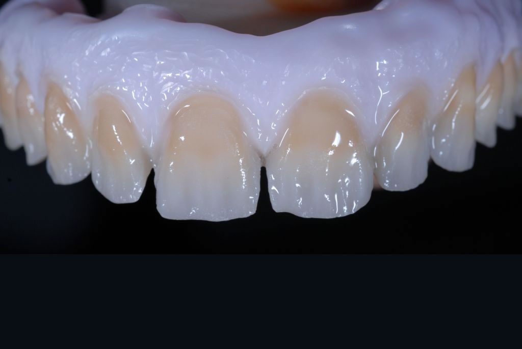
Wie bei der Animation zu sehen, besteht solch eine Implantatkrone aus mehreren Teilen
Titangegenstück für das Implantat im Mund, incl. Titanschraube
ein individueller weißer Zirkonaufbau, der den beschliffenen Zahn rekonstruiert
und die tatsächliche später sichtbare Zirkonkrone
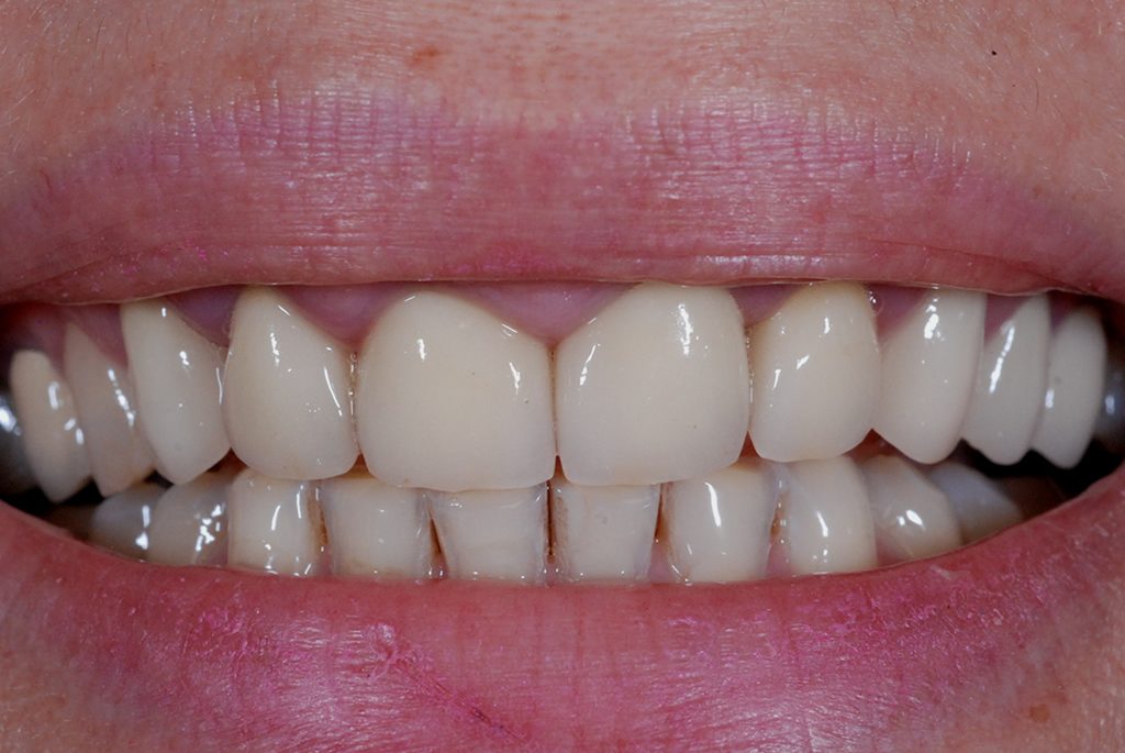
…..die jetzt wieder gut lachen hat.
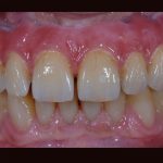
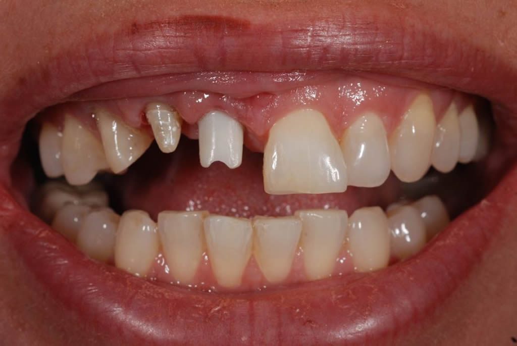
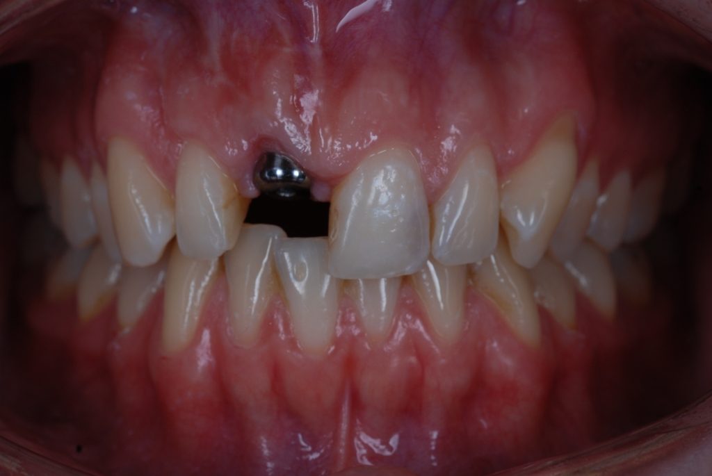
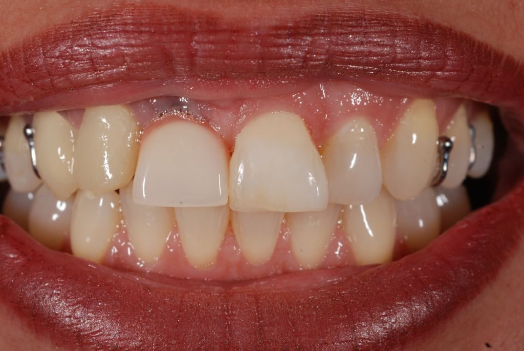
Der hier gezeigte Fall, zeigt drei, zum Teil bis zum Zahnfleisch abgesplitterte Frontzähne.
Der Frontzahn (11) mußte gezogen werden und wurde durch ein Implantat ersetzt.
Die beiden anderen Zahnreste wurden kieferorthopädisch aus dem Zahnfach bewegt und mit
Komposite (Kunststoff) wieder aufgebaut.
Nach der Einheilzeit des Implantats, wurde ein weißer Zahnaufbau für das Titanimplantat hergestellt, um ein Verdunkeln durch das Implantat zu verhindern. Abschließend wurden drei Zirkonkronen hergestellt.
Solch ein Ergebnis ist nur durch eine optimale Vernetzung aller Beteiligten möglich. (Zahnarztpraxis Glißmeyer, Kieferorthopädin Dr.Römhild, Oralchirugen Dr.Vettin+Dr.Meissner und Zahntick)
Behandlungszeit ca. 1,5 Jahre
Besuch aus Hamburg !!
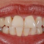
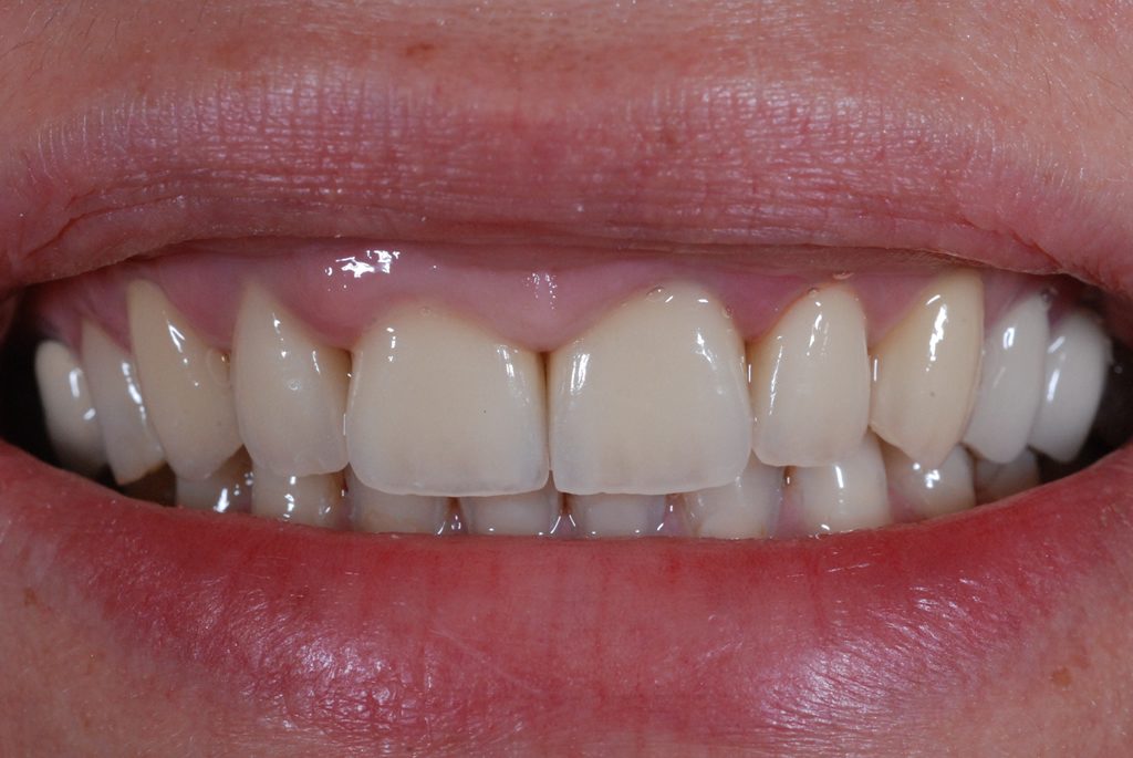
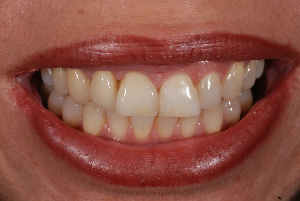
Vor 10 Jahren waren wir schon einmal für die Patientin zahntechnisch tätig, dann der Umzug von der Spree in die Hansestadt. Als ihre Frontzahnkronen erneuert werden sollten, durfte ein anderer Handwerker ‘ran……leider für die Patientin nicht zufriedenstellend.
Zwei Jahre dauerte es, bis sie sich entschloss, alle 6 Frontzahnkronen erneuern zu lassen. Kurzum planten wir mit der Praxis Martin Funke die Behandlungsschritte und machten die Patientin mit ihren neuen Zähnen glücklich.
Nun funkeln die neuen Kronen mit einem transparenten Wechselspiel in der Schneidekante
und einer erfrischenden Formgestaltung.
Vielen Dank für den schönen Blumenstrauß !!
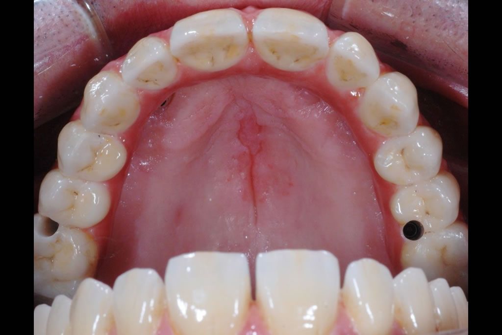
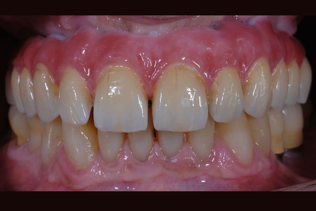
Vorrangiger Patientenwunsch war es eine festverschraubte Keramikbrücke mit altersbedingter Optik in Form und Farbe zu bekommen.
Die sechs Implantate wurden im Vorfeld mit einem Langzeitprovisorium aus Hochleistungskunststoff versorgt. In dieser Testphase konnte der Patient voll und ganz die Vorteile dieser Versorgungsform ausprobieren in Sprache, Optik und Reinigung.
Aus der gewonnenen Provisorium- Endform, wurde nun mit modernster CAD/CAM Technik ein Zirkongerüst gefrässt, danach hochtemperiert gesintert und anschließend keramisch verblendet.
Technisch ist diese Arbeit vertikal als auch horizontal im Munde des Patienten verschraubt, dies fühlt sich für den Patienten wie die eigenen Zähne an. Bei der Prophylaxereinigung ist die Versorung durch die Zahnarztpraxis abschraubbar.
LABOR

Wir stellen uns vor. Das Team von Zahntick
Zahntechnischer Meisterbetrieb in Berlin und Brandenburg. Das Zahntick – Dentallabor
mehr erfahrenADRESSE

Sie finden uns hier. Zentral, in bester Lage.
Dentallabor Zahntick GbR
Hattwichstraße 83
16548 Glienicke
Tel: 033056-4321 40
Fax: 033056-4321 42
E-Mail: kontakt@zahntick.de
mehr erfahrenTERMINVERGABE

Terminvergabe. Ihr Anliegen ist uns wichtig.
Schreiben Sie uns oder rufen Sie uns an. Wir werden schnellstmöglich einen Termin für Sie finden.
mehr erfahren

























